Her er første 3D-bilde av klitoris: – Mannlige og kvinnelige kjønnsorganer er ganske like, sier professor

Nye 3D-bilder viser at nerven som gir orgasmer, likevel ikke avtar på vei til klitorishodet.

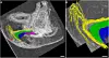
Flerfeltsbilde med fargekodet 3D-modell og gråtone-røntgen av klitoris og omkringliggende vev.
Det gule er dorsalnerven, som gir klitorishodet (i grått) følelse og dermed orgasmer. Det grønne er klitorisbeina og det lilla kalles klitorispærene. Dette er svamplignende legemer som svulmer opp og fylles med blod under seksuell stimulering. Det blå er nettverk av blodårer.
Publisert

Forskere fra Nederland og Storbritannia har laget det første 3D-bildet noensinne av nervene i klitoris.

Til sammenligning fikk vi denne kunnskapen om penisen for nesten 30 år siden, ifølge forskerne. De viser til en artikkel fra 1998 som bruker en annen teknikk, men som kartlegger nervene i penis på tilsvarende vis.

– Det er helt utrolig at det har tatt så lang tid, sier Ju Young Lee til avisa The Guardian.

Med en slags super-røntgen har hun og kollegaene laget detaljerte bilder av nervene i det kvinnelige nytelsesorganet. Bilder som gjør at medisinske illustrasjoner av klitoris ser ut til å måtte oppdateres, igjen.

Studien er foreløpig publisert som en preprint, det vil si at den ikke ennå er vurdert av andre forskere.

Ikke så liten likevel

Klitoris er et av de minst studerte organene i den menneskelige kroppen, ifølge forskerne bak den nye studien.

En studie fra 2023 viser at det er 20 ganger mer publisert forskning på bare penishodet sammenlignet med klitoris i sin helhet.

I 1998 kom den første skikkelige anatomiske studien av klitoris, som viste at organet var mye større og mer komplekst enn vi hadde trodd. Den bittelille erten, klitorishodet, som er synlig over kjønnsleppene, er den mest sensitive delen av et stort indre organ som er rundt 10 centimeter langt.

For noen år siden kunne forskning.no rapportere at nervene i vevsprøver fra klitoris hadde blitt telt opp. Forskeren telte over 10.000 nerver.

I den nye studien får vi altså 3D-bilder der vi i detalj kan se hvor disse nervene kommer fra og hvordan de forgreiner seg i og utover klitoris.

Orgasmenerven foregreiner seg som et tre

Dorsalnerven er den som gjør at vi får orgasme ved stimulering av klitoris.

Tidligere forskning, der klitoris hadde blitt dissekert, har konkludert med at dorsalnerven gradvis reduseres på veien mot klitorishodet. Det har ført til at medisinske illustrasjoner av klitoris har vist at den har sparsomt med nerver, ifølge de nederlandske forskerne.

3D-bildene viser derimot at dette ikke er tilfellet. Nerven blir ikke redusert. Det som skjer, er at når den når klitorishodet forgreiner den seg som et tre der inne.

Sammensatte 3D-røntgenbilder av klitorishodet med fargekodede nerver og vevsstrukturer.
Når dorsalnerven når opp til klitorishodet, den delen av klitoris som er synlig over kjønnsleppene, forgreiner den seg som et tre. 3D-bildet viser frem store nervebunter i ulike farger. Den grå linjen markerer overflaten til klitorishodet. Det grønne området, markert CC, er toppen av klitorisbeina.

Dorsalnerven strekker seg dessuten videre til klitorishodets forhud og til det som kalles mons pubis eller venusberget – et område av fettvev helt nederst på magen som ligger over underlivsbeinet.

Bildene viser også nettverket av nerver som omringer klitoris. Disse bakre leppenervene løper oppover langs de indre kjønnsleppene og gir følelse til området rundt klitorishodet.

– Veldig flotte bilder

For å lage 3D-bildene av nervene i klitoris, har forskerne benyttet seg av kvinnelige kjønnsorganer fra to kvinnekropper donert til medisinsk forskning.

Professor Anne Spurkland er kanskje mest kjent som immunolog, men hun er faktisk professor i anatomi - og ansvarlig for undervisning i bekkenorganer for nye medisinstudenter.

Så har de brukt en slags super-røntgen-teknikk med såkalte synkrotronstråler. Med denne typen røntgen kan forskere studere materialer ned på atomnivå.

– Det er nok første gang noen har brukt denne teknologien til å få frem slike bilder av klitoris, bekrefter Anne Spurkland, professor i anatomi ved Universitetet i Oslo.

– Det er veldig flotte bilder i denne artikkelen. De viser oss i detalj hvor utrolig tett med nerver det er og hvor de ulike nervetrådene går.

Begge klitorisene som er studert, kommer fra kvinner som har vært gjennom menopausen.

– Klitoris endrer seg gjennom livet, så dette er kanskje ikke fullt så flott som hvis de hadde et preparat fra noen som døde da hun var på høyden, i 20-30-årene, sier Spurkland.

– Men dette er det beste vi kan få til.

– Sjokkerende at dette ikke er allmennkunnskap

Det er absolutt ikke den første kartleggingen av klitoris sin nervetilførsel, påpeker Nina Brochmann, legen bak bøkene «Gleden med skjeden» og «Avkledd – Den syke historien om kvinners seksualitet i medisinen».

– Kunnskapen om den dorsale klitorisnerven og dens forløp har vært kjent i flere hundre år, sier Brochmann.

Anatomibøker fra 1800-tallet var grundigere på kvinnelig seksuell anatomi enn de Brochmann selv brukte rundt 2010, forteller hun. Studien fra 1998, den som viste at klitoris var et stort indre nytelsesorgan, gjenoppdaget dermed det man egentlig allerede visste, ifølge Brochmann.

– Det sjokkerende er at dette ikke var allmennkunnskap. Det er ingen annen måte å forklare det på enn at tabuer fortsatt eksiterer rundt kvinnelig seksualitet.

Men den nye studien har brukt en ny og detaljert bildemetode.

– Den har utrolig fine og forståelige 3D-bilder av nervenes forløp, sier hun.

Også har de funnet ut litt nytt om nervene også, som kan ha noe å si blant annet for operasjoner i underlivet.

Ny kunnskap som kan gi bedre kirurgi

Det at den dorsale klitorisnerven strekker seg helt til området over underlivsbeinet, er ny kunnskap, ifølge Brochmann og Spurkland.

– Det betyr at seksuell stimulering kan starte her, sier Spurkland.

– At det gir mening å gni bekkenet mot hverandre som del av stimuleringen.

Det betyr også at hvis man skjærer i denne tynne huden, så kan nerver og følelse i klitoris bli skadet, påpeker Brochmann.

To 3D-røntgenbilder som viser fargekodede nerver rundt og i klitoris mot gråtonebakgrunn.
Bilde A viser at dorsalnerven, i gult, strekker seg helt til venusberget (den øverste røde pilen) og til klitorishodets forhud (den nederste røde pilen). Den lille, svarte b-en står for blæra, v står for vagina, og r står for rektum. Bilde B er et nærbilde av det de to røde pilene peker på.

Beskrivelsen av nervene i kjønnsleppene og at disse gir følelse til området rundt klitorishoset og klitoriskroppen, er også ny.

Studien er en tydelig advarsel til alle som får lyst til å fikse litt på kjønnsleppene sine med såkalt labiaplastikk, mener Spurkland.

– Å dandere dem og klippe dem ned – da spiller man hasard med sin egen seksuelle funksjon.

Forskerne bak den nye studien viser til at labiaplastikk har økt betraktelig de siste årene. De råder kirurger til å oppdatere seg på de nye funnene om nervene i klitoris.

Forskerne håper også at den nye kunnskapen kan hjelpe kvinner utsatt for kjønnslemlestelse og gi bedre resultater i kjønnsbekreftende kirurgi og behandling av vulvakreft.

Penis og klitoris er ganske like

Den nye studien bekrefter ellers likhetene mellom mannlige og kvinnelige kjønnsorganer, mener Spurkland.

– Den viser veldig fint noe som det er på sin plass å kunne vise – nemlig at mannlige og kvinnelige kjønnsorgan er ganske like hvis man bare sammenligner bit for bit.

Det er den kraftige nerven som kalles nervus pudendus, som går ut av bekkenet, som til slutt blir dorsalnerven – den som gir nytelse – i penis og klitoris. Før den kommer så langt, har den gitt nervegrener til blant annet bekkenmuskulatur og endetarmen, og til området mellom endetarmen og kjønnsorganet.

– Når vi sitter, så sitter vi på denne nerven, forklarer Spurkland.

– Menn som sykler lenge i ett strekk, kan få forbigående lammelse i denne nerven, som altså skal ut til penis. Jeg har ikke hørt om dette hos kvinner, men ut ifra denne studien så ville det være et relevant spørsmål å stille, om dette også rammer kvinnelige syklister.

Ikke rart at få får orgasme ved kun penetrering

Spurkland tror mange yngre vet mye mer om klitoris i dag enn eldre generasjoner. Bøker som «Gleden med skjeden» har gjort en forskjell, mener hun.

Portrett av Nina Brochmann.
Lege og forfatter Nina Brochmann ønsker seg flere studier av effekten på opphisselse og orgasmefunksjon etter underlivskirurgi som kosmetiske operasjoner, operasjoner for urinlekkasje og underlivsprolaps.

– Men jeg må si, det som forundrer meg, er at det fortsatt virker som om folk som har en klitoris, ikke skjønner at de selv må ta ansvar for å stimulere den for å være sikker på å oppnå orgasme, sier professoren.

Den nye studien viser tydelig at det ikke er rart at svært få kvinner opplever orgasme utelukkende ved penetrering, påpeker hun.

Brochmann håper studier som denne gjør at flere leger blir inspirert til å oppdatere seg på klitoris.

– Det største problemet i dag er ikke at klitoris forskes for lite på. Det er at det vi kan, ikke læres bort på medisinstudier eller i stor nok grad er kjent blant urologer, gynekologer og plastiske kirurger som skjærer i kvinners underliv, sier hun.

Spurkland er ansvarlig for undervisning i bekkenorganer for nye medisinstudenter ved Universitetet i Oslo. Utvikling av kjønnsorganene er en av tingene som står på agendaen.

– At nervus pudendus leverer nerver til kjønnsorganene, underviser vi selvsagt om, men detaljene i når den kommer frem til klitoris, det har vi kanskje ikke vært så tydelige på, sier hun.

– Så jeg får vel skjerpe meg! Og da er denne nye studien gøy å henvise til.

LES OGSÅ

Opptatt av helse, psykologi og kropp?

Mat hjernen med nyheter fra forskning.no om sykdommer, psykologi, kosthold, sex, trening og andre av kroppens mysterier.

Meld meg på nyhetsbrev

Powered by Labrador CMS