Denne artikkelen er produsert og finansiert av UiT Norges arktiske universitet - les mer.
Forskere og leger ønsker mer kunnskap om hvordan skjelettet til friske barn og ungdommer ser ut. Derfor skal 160 friske barn skannes med MR-maskin. (Video: Karine Nigar Aarskog/ UiT)
MR-bilder av friske barn skal gi mindre feilbehandling
MR-bilder av syke barn kan tolkes feil. Nå kartlegger forskere skjelettet til friske barn. – Jeg ville hjelpe andre, sier Hanna (10). Hun er en av barna som deltar i studien.
UiT Norges arktiske universitetUiTNorges arktiske universitet
Publisert
– Der kommer det to jenter sammen med moren sin. Er det dem vi venter på?
Overlege Derk Avenarius ved Universitetssykehuset Nord-Norge ser spørrende på doktorgradsstipendiat ved UiT Norges arktiske universitet, Pia Zadig. Hun nikker.
– Tar du dem med hit, så henter jeg papirene, fortsetter han.
Rommet innerst på røntgenavdelingen ved Universitetssykehuset Nord-Norge er halvt opplyst. I en hylle ligger hvite sykehusskjorter med lyserøde prikker. Radiograf Lisbeth Bjørklund gjør klar en datamaskin med to store skjermer. Gjennom et vindu kan man se MR-maskinen som snart skal i aksjon.
Ellen Anne Barlindhaug Jackson (11) og Hanna Emilie Barlindhaug Jackson (10) nærmer seg i den lange sykehuskorridoren sammen med moren Marie Barlindhaug. I dag skal ikke MR-maskinen avdekke sykdom. De to jentene deltar i en forskningsstudie der formålet er å kartlegge skjelettet til friske barn.
– Vi ønsker å kartlegge normalanatomien til friske barn og finne ut hvordan de ser ut. Hvis vi ikke vet hva som er normalt, hvordan kan vi vite hva som er unormalt? forklarer Pia Zadig.
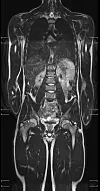
Slik kan en kropp se ut på et MR-bilde. (Foto: Universitetssykehuset Nord-Norge)
Fare for feilbehandling
Det er nemlig en fare for overdiagnostisering og feilbehandling når MR-bilder brukes for å avdekke sykdom. Teknologien blir stadig bedre og mer avansert, men fordi det hittil ikke har eksistert gode nok data over hvordan skjelettet til friske barn ser ut, er faren for feiltolking stor.
– Det vi kaller «MR hel kropp» er en screeningsmetode som er tatt i bruk uten at man faktisk vet hva som er normalt, utdyper Derk Avenarius.
På et MR-bilde viser en forandring seg som en lysende flekk. Men at det lyser, trenger ikke å bety at noe er galt.
– Ofte vil forandringer i skjelettet hos syke barn bli tolket som en del av sykdomsbildet og bli behandlet, uten at det kanskje er nødvendig. For eksempel vil en lysende flekk kunne bli tolket som kreftspredning dersom man vet at barnet har kreft i en annen del av kroppen, sier Zadig.
Ballett og kontrabass
Pia Zadig ønsker gjestene velkommen og tar dem med inn på kontoret til overlege Avenarius.
– Dette er det mest spennende legekontoret på hele sykehuset, hevder hun og overdriver ikke.
Veggene er dekket av barnetegninger og plakater og effekter fra Star Wars-filmene. Zadig stiller jentene noen spørsmål om helsen deres, hva de gjør på fritida og om de noen gang har brukket noe.
– Jeg forstuet fingeren min for noen år siden. Det er det verste jeg har gjort av sånne ting, forteller Ellen.
Pia Zadig (til venstre) snakker med Ellen, Hanna og Marie Barlindhaug inne på kontoret til Derk Avenarius. (Foto: Karine Nigar Aarskog)
Pia Zadig forklarer at de bruker opplysningene om barna til å avdekke mulige sammenhenger. For eksempel kan det gi utslag på MR-bildene at man driver med idrett eller spiller et instrument. Både Ellen og Hanna danser ballett, Ellen spiller piano og Hanna kontrabass, noe som kanskje kan komme til syne på bildene av knoklene deres. Gamle bruddskader kan også være synlige.
– Hvem av dere skal inn først? spør Zadig.
Annonse
– Ellen, svarer Hanna fort.
Ellen nikker at det er ok. Jentene virker spente og litt betenkte. Kanskje på grunn av tanken på å ligge inne i en MR-maskin i 45 minutter uten å røre seg, mens det dunker og bråker rundt dem, med en stor hjelm på hodet.
– Vi kaller den for en astronauthjelm. Dere har den på for at dere skal kunne se på film, forklarer Zadig.
Da lyser jentene opp.
Oppsiktsvekkende funn
Så langt har 110 barn og unge i alderen 6–18 år deltatt i studien. Initiativet kommer fra Universitetssykehuset i Oslo, Rikshospitalet og er et samarbeid med Universitetssykehuset Nord-Norge og UiT Norges arktiske universitet.
Ellen gjør seg klar for skanning og får hjelp av radiograf Lisbeth Bjørklund. (Foto: Karine Nigar Aarskog)
Målet er å skanne hele kroppen til 160 friske barn. Studien har allerede gitt oppsiktsvekkende funn. Av barna som har blitt skannet hittil har 80 prosent hatt lysende flekker i skjelettet som karakteriseres som normale. Flekkene kunne blitt tolket som sykdom under andre omstendigheter.
Forskningsprosjektet og de foreløpige resultatene ble presentert på en barneradiologisk kongress i Helsinki i mai. Presentasjonen og prosjektet fikk mye oppmerksomhet, og ble tildelt en kvalitetspris.
– Deltakerne der ble veldig overrasket over resultatet, sier Zadig.
Hun understreker at studien ikke gir en fullstendig screening av kroppen og at de som deltar er selvrapporterte friske uten symptomer på sykdom. MR-bildene studeres av tre barneradiologer, og dersom noen av funnene skulle gi mistanke om sykdom, følges barna opp av barnelege.
Ligner på en smultring
Ellen gjør seg klar til å bli skannet. Hun blir målt og veid og skifter til sykehusklær. Hun velger seg en av Harry Potter-filmene og går inn i rommet der MR-maskinen står. Mamma og Hanna ser på når hun blir pakket inn i alle slags remedier og kjørt inn i trommelen.
Annonse
– Det ser ut som hun ligger i en donut, påpeker Hanna.
Ute i kontrollrommet sitter radiograf Lisbeth Bjørklund klar.
– Hører du meg? spør hun Ellen.
– Ja, kommer det inne fra trommelen.
– Det kommer til å bråke noen ganger. Vi hører deg, og hvis du vil si noe til oss er det best å trykke på alarmen først, sier Bjørklund.
Gjennom vinduet: Lisbeth Bjørklund og Derk Avenarius forbreder MR-skanning. (Foto: Karine Nigar Aarskog)
Viktig å få oversikt
Det kommer en høy lyd fra maskinen.
– Sovnet du eller ringte du på? spør Bjørklund.
– Filmen har stoppet, sier Ellen.
– Vi skal ordne det. Nå er det bare cirka ti minutter igjen. Det vil bråke tre ganger til, beroliger radiografen.
På skjermene foran henne dukker det stadig opp nye bilder av skjelettet til Ellen. Til sammen 1875 bilder blir tatt i løpet av minuttene hun ligger i MR-maskinen.
– Det er mange bilder. Vi skal kunne jobbe med studien i mange år. Det er så viktig for alle barn i verden at vi får bedre oversikt over hva som er normale variasjoner og normale modningstegn. Det er viktig å få fullført studien og få publisert resultatene, sier Avenarius.
Annonse
Skanningen er over, og Ellen pakkes ut av maskinen igjen.
– Det var bråkete, rart og ubehagelig. Men det gikk greit, slår hun fast mens lillesøsteren gjør seg klar.
Og som alltid når man er hos legen, vanker det en liten premie. Denne gangen er det en kinobillett. Men det viktigste for jentene er at de kan hjelpe andre barn. Marie Barlindhaug forteller at de ønsker å delta i studien for å kunne hjelpe de barna som ikke er friske.
– Dere hjelper jo syke barn når dere er med, sier Barlindhaug til døtrene sine.
– Det var derfor jeg ville det. Vi liker å hjelpe, sier Hanna.
Ønsker du å delta i studien?
Forskerne trenger fortsatt flere barn i alderen 6–12 år og 14–18 år. Ta kontakt med Derk Avenarius: derk.avenarius@unn.no